Comment la maladie d'Alzheimer change le cerveau


La maladie d’Alzheimer peut changer le cerveau de différentes manières. Vous découvrirez sur cette page quelques-uns des changements auxquels vous pouvez vous attendre à mesure de sa progression.

Care worker and senior woman holding hands.

Chaque personne est affectée différemment

Les facultés cognitives et fonctionnelles

  • Les capacités d’une personne à comprendre, réfléchir, se souvenir et à communiquer seront touchées. Ceci aura des répercussions sur ses capacités à prendre des décisions, à accomplir des tâches simples ou à suivre une conversation.
  • Parfois, la personne peut s’égarer, éprouver une certaine confusion et avoir des pertes de mémoire. Au départ, cela ne se produit que pour les événements récents. Mais, un jour ou l’autre, la mémoire des événements plus anciens sera elle aussi affectée.

Les émotions et l’humeur

  • La personne peut sembler apathique et ne plus s’intéresser aux passe-temps qu’elle aimait dans le passé.
  • Dans certains cas, elle devient moins expressive et se renferme.

Les capacités physiques

  • La maladie peut affecter la coordination et la mobilité de la personne, au point d’affecter sa capacité à effectuer des tâches usuelles comme se nourrir, se laver et s’habiller.

Le comportement

  • La personne pourrait avoir des réactions inhabituelles.
  • Elle pourrait, par exemple, répéter incessamment les mêmes gestes ou les mêmes mots, cacher ses effets personnels, avoir des réactions brusques et un comportement agité.

Comment les lésions cérébrales affectent-elles le comportement?

Si le comportement d’une personne change, cela pourrait indiquer des lésions dans certaines parties du cerveau. Vous trouverez ci-dessous une description des fonctions des différentes zones du cerveau et comment une lésion dans l’une ou l’autre pourrait provoquer des changements particuliers.

Le système limbique

  • Est très vite affecté par la maladie d’Alzheimer.
  • Est lié à la mémoire et aux émotions.
  • Est le lien entre les lobes du cerveau; il permet d’associer le comportement aux souvenirs.
  • Contrôle les émotions et les besoins de base (comme le sommeil et l’alimentation).

Changements visibles

  • Difficulté de trouver des objets et de se souvenir où ils ont été rangés.
  • Méfiance.
  • Irritabilité, dépression ou anxiété.

Le lobe frontal

  • Enclenche le début les activités.
  • Nous permet de planifier et d’organiser nos actions.
  • Contrôle notre jugement social et notre comportement, comme :
    • savoir quel comportement est approprié dans une situation donnée;
    • interpréter les sentiments d’autres personnes; et
    • contrôler nos propres actions.

Changements visibles

  • La personne semble apathique et désintéressée.
  • Elle arrête de s’adonner aux activités et aux loisirs qu’elle aimait dans le passé.
  • Elle se désintéresse rapidement de certaines activités; elle semble contente de rester assise et ne répond pas aux questions qu’on lui pose.
  • Elle s’efface devant les autres.
  • Elle est incapable de mettre un terme à une activité et la répète sans cesse.

L’hippocampe et le lobe temporal

  • L’hippocampe est la zone où la mémoire visuelle et la mémoire verbale sont traitées :
    • la mémoire verbale, ce sont les mots, ou des souvenirs de ce qu’on a lu, dit ou entendu; tandis que
    • la mémoire visuelle nous permet de reconnaître les objets, les visages et les endroits pour nous orienter dans l’environnement.
  • Le lobe temporal contrôle notre apprentissage des nouvelles choses ainsi que notre mémoire à court terme.

Changements visibles

  • Incapacité à se souvenir du passé récent.
  • Vie dans le moment présent.
  • Perte de vocabulaire.
  • Incapacité à reconnaître les visages familiers, les objets ou les lieux.

Le lobe pariétal

  • Nous aide à classer les activités dans le bon ordre,
    comme :
    • enfiler ses vêtements dans le bon ordre; ou
    • utiliser des outils ou effectuer des tâches qui exigent une séquence logique, comme démarrer ou conduire un véhicule.
  • Contrôle la capacité à comprendre les informations spatiales, comme :
    • l’endroit où on se trouve; et
    • où se trouvent les autres objets.

Changements visibles

  • Utilisation d’un mot pour l’autre.
  • Difficulté à comprendre ce que disent les autres.
  • S’exprimer en des termes généraux, plutôt qu’en des termes particuliers.
  • Incapacité à exprimer clairement ses idées par écrit.
  • Difficulté à s’occuper de ses comptes en banque ou à payer des factures.
  • S’égarer facilement.
  • Difficulté à s’habiller.
  • Démarche lente et troubles de l’équilibre

Ces changements varient selon le côté du cerveau affecté (le côté gauche ou droit).

Le lobe occipital

  • Contrôle la vision.
  • Nous permet de voir et de combiner les couleurs, les formes, les angles et le mouvement en des structures intelligibles.

Bien que le lobe occipital ne soit généralement pas directement impliqué dans la maladie d’Alzheimer, les zones visuelles environnantes qui nous permettent d’assembler les éléments de la vision peuvent être touchées.

Changements visibles

  • Perte de la perception de la profondeur.
  • Incapacité à voir les mouvements.

Les plaques et les enchevêtrements : les signatures de la maladie d’Alzheimer

Lorsqu’on entend parler des remèdes potentiels pour la maladie d’Alzheimer dans les nouvelles, on entend souvent parler des plaques et des enchevêtrements. D'abord discuté publiquement par le Dr Alzheimer en 1906, on les observe communément dans le cerveau des personnes atteintes de la maladie d’Alzheimer.

Que sont les plaques?

La réponse courte

Les plaques se composent d’amas denses de protéines qui sont dispersés dans le cerveau. Certains scientifiques pensent que lorsque trop de ces plaques s’accumulent et se développent, elles peuvent bloquer les voies de communication du cerveau, à la manière des canalisations d’une maison qui peuvent se bloquer. Cela pourrait empêcher les cellules cérébrales de communiquer entre elles.

La réponse plus longue

On trouve dans le cerveau une protéine du nom de bêta-amyloïde, ou A-bêta. Lorsque ces protéines s’accumulent entre les cellules cérébrales, elles forment des dépôts : les plaques amyloïdes.

Avec le temps, ces plaques peuvent se former dans des régions du cerveau, y compris dans l’hippocampe, la zone du cerveau importante pour la mémoire.

Certains scientifiques pensent que une fois que ces dépôts sont assez gros, ils pourraient empêcher la transmission des signaux entre les cellules dans le cerveau. Cela ralentirais ou s'arrêterait leur communication et bloquerait la nutrition dont elles ont besoin pour rester « en bonne santé ». Finalement, cela pourrait provoquer la mort des cellules cérébrales et entraîne le déclin cognitif.

Que sont les enchevêtrements?

La réponse courte

Les enchevêtrements sont des protéines torsadées que l’on trouve dans le cerveau, un peu à la manière des câbles d’un écouteur qui s’emmêlent. Cette torsion nuit à un processus important dans le cerveau et étouffe finalement les cellules cérébrales.

La réponse plus longue

On trouve dans le cerveau une protéine qui porte le nom de tau. Les protéines tau du cerveau ressemblent à des rails parallèles. Les nutriments et d’autres matériaux importants sont transportés le long de ces rails pour maintenir les cellules cérébrales en vie.

Dans un cerveau sain, les protéines tau s’assurent que les nutriments arrivent bien à destination.

Dans un cerveau malade, la protéine tau s’effondre et se torsade, ce qui forme des amas de fibres enchevêtrées. Ces enchevêtrements empêchent les nutriments d’atteindre les cellules du cerveau, ce qui provoque leur mort.

Les plaques et les enchevêtrements provoquent-ils la maladie d’Alzheimer?

Depuis des dizaines d’années, on émet l’hypothèse selon laquelle les plaques et les enchevêtrements provoquent la maladie d’Alzheimer. Il n’y a toutefois encore aucune preuve.

Par exemple, de récents essais cliniques organisés à des fins de traitement se concentraient sur le ciblage et l’élimination des plaques amyloïdes; ces essais n’ont pas permis d’empêcher le déclin cognitif.

Pour simplifier, bien que nous sachions ce qui peut augmenter le risque de la maladie d’Alzheimer, on ne sait pas encore ce qui provoque la formation de ces plaques et de ces enchevêtrements dans le cerveau, ni comment elles se forment.

Plus de recherches doivent être entreprises pour comprendre leur rôle particulier dans la maladie d’Alzheimer, et savoir en effet si elles provoquent directement la maladie d’Alzheimer, ou si elles ne sont que le dérivé d’une cause différente.

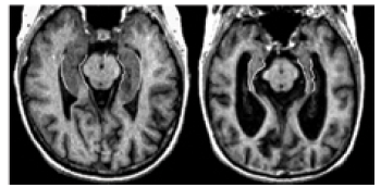
La mort des cellules cérébrales

Lorsque les cellules du cerveau se détériorent et meurent, le cerveau se réduit fortement dans certaines zones.

Ce phénomène a tout d’abord été observé par le docteur Alzheimer lorsqu’il a étudié le cerveau d’Auguste Deter, la première personne à recevoir officiellement un diagnostic de maladie d’Alzheimer; on l’observe encore chez les personnes atteintes de la maladie d’Alzheimer aujourd’hui.

Les tissus cérébraux d’une personne en bonne santé (à gauche) sont plus élevés que ceux d’une personne atteinte de la maladie d’Alzheimer (à droite).
Images IRM; avec l’autorisation du Sunnybrook and Women’s College Health Sciences Centre.

Illustration : les tissus cérébraux d’une personne en bonne santé (à gauche) sont plus élevés que ceux d’une personne atteinte de la maladie d’Alzheimer (à droite).

Cette contraction continue à mesure de la progression de la maladie; elle affecte les fonctions du cerveau et aggrave les symptômes.