How Alzheimer's disease changes the brain


Alzheimer's disease can change the brain in many different ways, On this page, read about some of the changes you may expect as the disease progresses.

Care worker and senior woman holding hands.

The effects of Alzheimer’s disease

Cognitive and functional abilities

  • A person’s ability to understand, think, remember and communicate will be affected. This could impact a person’s ability to make decisions, perform simple tasks or follow a conversation.
  • Sometimes people lose their way, or experience confusion and memory loss. Initially, this happens only for recent events, but eventually affects memory of long-term events too.

Emotions and moods

  • A person may appear apathetic and lose interest in favourite hobbies.
  • Some people become less expressive and withdrawn.

Physical abilities

  • The disease can affect a person’s coordination and mobility to the point of affecting their ability to perform day-to-day tasks such as eating, bathing and getting dressed.

Behaviour

  • A person may have reactions that seem out of character.
  • Some common reactions include repeating the same action or words, hiding possessions, physical outbursts and restlessness.

How does brain damage affect behaviour?

If someone's behaviour is changing, it could be a sign of damage to certain areas of the brain. Below are descriptions of what each area of the brain does and how damage to that area can cause specific changes.

Limbic system

  • Affected early in Alzheimer's disease.
  • Involved with memory and emotion.
  • Links the lobes of the brain, enabling them to connect behaviour with memories.
  • Controls emotion and basic needs (such as sleeping and eating).

Changes that may be seen

  • Difficulty finding objects and remembering where they were placed.
  • Suspiciousness.
  • Irritability, depression or anxiety.

Frontal lobe

  • Initiates activity.
  • Allows us to plan and organize our actions.
  • Regulates our social judgment and behaviour, such as:
    • Knowing what behaviour is appropriate to a situation,
    • Interpreting the feelings of other people and
    • Monitoring our own actions.

Changes that may be seen

  • The person appears apathetic, uninterested.
  • Stops hobbies or other activities previously enjoyed.
  • Quickly loses interest in an activity, seems content to sit, does not respond to others.
  • Withdraws from others.
  • Is unable to stop an activity, repeating it over and over.

Hippocampus and temporal lobes

  • The hippocampus is where verbal and visual memory are processed:
    • Verbal memories are words – memories related to what we read or say or hear, while
    • Visual memory lets us recognize objects, faces and places to guide us around our environment.
  • Temporal lobes control our learning of new things and short-term memory.

Changes that may be seen

  • Inability to retain memory of the recent past.
  • Living in the present moment.
  • Loss of vocabulary.
  • Inability to recognize familiar faces, objects or places.

Parietal lobes

  • Help us put activities in the right sequence, such as:
    • Putting clothes on in the right order, or
    • Using tools or performing tasks that require a logical sequence, such as starting and driving a car.
  • Control our ability to understand spatial information, such as:
    • Where we are in a specific environment, and
    • Where other objects are.

Changes that may be seen

  • Using words incorrectly.
  • Difficulty in understanding what others say.
  • Speaking in general terms rather than specifically.
  • Inability to express thoughts clearly in writing.
  • Difficulty handling bank accounts or paying bills.
  • Getting lost easily.
  • Difficulty putting on clothing.
  • Balance and gait difficulties.

These changes will vary depending on whether the left or right side of the brain is affected.

Occipital lobe

  • Controls vision.
  • Allows us to see and combine colours, shapes, angles and movement into meaningful patterns.
  • Although the occipital lobe is not usually directly involved in Alzheimer's disease, the surrounding visual areas that allow us to put the elements of vision together can be affected.

Changes that may be seen

  • The loss of depth perception.
  • The inability to see movement.

Plaques and tangles: The hallmarks of Alzheimer's disease

When you hear about potential Alzheimer's cures in the news, you may often hear about plaques and tangles. First described publicly by Dr. Alzheimer in 1906, these are commonly seen in the brains of people who have Alzheimer's.

What are plaques?

The shorter answer

Plaques are made up of dense clusters of protein, scattered throughout the brain. Some researchers believe that when too many of these plaques build and grow, those plaques can block the pathways in your brain. This would stop your brain cells from being able to talk to each other.

The longer answer

In the brain, there is a protein called amyloid-beta, or A-beta. When amyloid beta clumps together in between brain cells, it forms deposits called amyloid plaques.

Over time, these amyloid plaques can form in regions of your brain, including your hippocampus – the area of your brain that's important for memory.

Some researchers think that once these deposits of amyloid plaques become large enough, they can block signals from being transferred between cells in the brain, slowing or stopping their communication and the nutrition they need to stay healthy. This may play a role in causing the brain cells to die, leading to cognitive decline.

What are tangles?

The shorter answer

Tangles are proteins in your brain that get twisted together, like how your headphone cables can get tangled up. This twisting interferes with important processes in your brain, eventually choking off your brain cells.

The longer answer

In your brain, there is a protein called tau. Tau proteins can be seen as parallel railroad tracks within the brain. Nutrients and other important material are transported along those tracks, keeping brain cells alive.

In a healthy brain, tau proteins ensure that nutrients reach their destination.

In an unhealthy brain, the tau protein collapses and twists, forming tangled clumps of fibres. These tangles prevent nutrients from reaching brain cells, resulting in cell death.

Do plaques and tangles cause Alzheimer's disease?

While it's been hypothesized for decades that plaques and tangles are the cause for Alzheimer's, there are no conclusive findings yet.

For example, recent clinical trials for treatments centred around targeting and eliminating amyloid plaques were unsuccessful in preventing cognitive decline.

To put it simply, while we know what can increase the risk of Alzheimer's, we just don't know yet what causes these plaques and tangles to form in the brain, and how they form.

More research needs to be done to understand their specific role in Alzheimer's disease, whether they are indeed directly involved to causing Alzheimer's or are a by-product of a different cause.

When brain cells die

When brain cells degenerate and die, the brain dramatically shrinks in some areas of the brain.

This was first observed when Dr. Alzheimer studied the brain of Auguste Deter, the first person to be officially diagnosed with Alzheimer's disease, and it's still observed in people with Alzheimer's disease today.

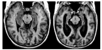
Two MRIs that depict the brain of a person without Alzheimer's, and a person with Alzheimer's.
MRI images courtesy of Sunnybrook and Women's College Health Sciences Centre.

To illustrate, the image here shows that a person who doesn't have Alzheimer's disease (left) has more brain tissue than a person who has Alzheimer's (right).

This shrinkage continues as the disease progresses, affecting the function of the brain and increasing the severity of symptoms.